Wisdom Tooth Extractions – Mayfield Heights, OH
Gentle Removal for Problem Wisdom Teeth
When wisdom teeth start causing pain, swelling, or crowding, it’s time to see a specialist. Fortunately, Dr. Jonathan Ross is a board-certified periodontist with extensive training in wisdom tooth extractions in Mayfield Heights. He can remove problematic or damaged teeth before they cause major issues for your smile or overall health. With advanced technology, multiple sedation options, and a friendly team by your side, you’ll stay comfortable from consultation to recovery.
Why Choose Ross Periodontics for Wisdom Tooth Extractions?
- Friendly and Skilled Periodontist
- Multiple Sedation Dentistry Options
- Flexible Financing Available
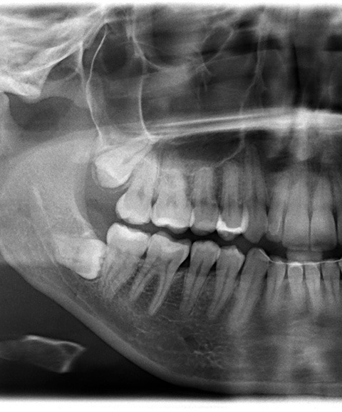
What Are Wisdom Teeth?

Wisdom teeth are your third set of molars, which usually start erupting in the late teens or early twenties. Long ago, they helped our ancestors chew tough, fibrous foods. However, thanks to advancements in food preparation and a change in diet, they’re mostly vestigial, like your tailbone or appendix.
Some people develop all four wisdom teeth, others only one or two. At times, they can be benign and never cause problems, but they often do, and when pain begins, it’s generally best to remove them.
Why Do Wisdom Teeth Need to Be Removed?

While not all wisdom teeth need to be removed, many can cause serious problems if they don’t have enough room to grow in properly. These extra molars often lead to crowding, shifting teeth, or bite changes, and they’re more likely to trap plaque and bacteria.
Impacted wisdom teeth, which are stuck beneath the gums or grow in at odd angles, can cause severe pain, swelling, infection, damage to nearby teeth, or cysts. Warning signs include jaw soreness, gum tenderness, bad breath, or recurring headaches. If you experience any or all of these symptoms, give us a call.
What to Expect From the Wisdom Teeth Procedure

The process of removing wisdom teeth is slightly different for every patient, but follows the same basic procedures.
First, Dr. Ross will examine your mouth and take digital X-rays to see the exact position of your wisdom teeth. For simple extractions, these teeth are gently loosened and removed after numbing the area with local anesthesia. If you have dental anxiety, a strong gag reflex, or a resistance to anesthesia, dental sedation can also be used for comfort.
If a tooth is impacted, Dr. Ross may need to make a small incision in the gum or section the tooth into pieces for safe removal. As a trained periodontist, he has performed many of these surgical extractions with care and precision, so you’re in good hands.
Recovering From Wisdom Teeth Extraction

Most patients can expect a few days of soreness and swelling after their wisdom tooth extractions, but following your aftercare instructions closely will help you heal smoothly.
Some general advice is, get plenty of rest, use a cold compress, and plan your menu around soft foods. In addition, you’ll need to avoid straws, smoking, vaping, or vigorous rinsing, so the blood clot can form over the site undisturbed.
If you have questions or notice unusual pain, bleeding, or fever, contact Ross Periodontics right away. We’re here to keep you comfortable and on track to recovery.
Wisdom Tooth Extractions FAQs
Are Wisdom Tooth Extractions Covered by Insurance?
Many dental insurance providers cover a portion of the cost of wisdom tooth extractions. So, if you are insured, there’s a chance that you won’t have to pay for it completely out of pocket! With that said, it’s important to read through the fine print on your plan. After all, many include waiting periods, annual maximums, and other restrictions that need to be considered. The good news is that our Mayfield Heights dental team is here to help make navigating the ins and outs of your coverage as easy as possible.
How Soon Can I Eat After Wisdom Teeth Removal?
It’s important that you wait at least an hour to eat after your wisdom tooth extraction in Mayfield Heights. There are two reasons for this. The first is that the gauze needs to stay in place to slow down the bleeding. The second is that the numbing agent needs time to wear off. That way, you don’t accidentally burn your mouth or bite down on your tongue, the insides of your cheeks, or your lips.
Important reminder: Once you do get the green light to eat, you need to stick to extremely soft foods, like applesauce, pudding, plain yogurt, and cottage cheese.
How Do You Sleep After Wisdom Teeth Removal?
Getting a good night’s sleep can be challenging, particularly the night of your procedure. To help, we will provide you with detailed aftercare instructions. A few examples include using a cold compress for 10 minutes at a time, taking prescribed or OTC pain medication as directed, and keeping your head elevated throughout the night.
How Should I Prepare for My Wisdom Tooth Extraction?
Prior to your procedure, it’s a good idea to stock up on everything you need during the recovery period, like cold compresses, soft foods, and OTC pain medication. It’s also important that you follow any instructions we provide, like not using tobacco products, avoiding alcoholic beverages, and getting a good night’s sleep the night before. Perhaps most importantly, don’t hesitate to reach out to us with any questions you have. Remember, we’re here to make your experience as smooth and seamless as possible from start to finish!
Is Wisdom Tooth Removal Painful?
If this is a concern of yours, we have good news: the first step of the procedure is always to numb the patient’s mouth. Not only that, but we provide detailed aftercare instructions to ensure the healing period is as painless as possible, too. If you’re still a bit nervous, consider sedation dentistry. With calming solutions like nitrous oxide and oral conscious sedation, we can help even the most nervous, anxious, and stressed patients have the calm, positive, and comfortable experience that they deserve.
Why Are Wisdom Teeth Called That?
Since wisdom teeth often do more harm than good, you might be wondering how the nickname came to be. It’s believed that it’s due to when they make an appearance. While the first and second sets of molars emerge in childhood, the third set typically erupts in the late teens or early twenties. Since wisdom comes with age, they were deemed “wisdom teeth!”
